Hip fractures in elderly patients are a serious concern and require timely treatment to restore mobility and avoid complications. One of the most reliable and time-tested solutions is the Cemented Half Hip Replacement – also known as Cemented Hemiarthroplasty. This procedure is especially beneficial for elderly individuals with fractures of the femoral neck.
What is Cemented Half Hip Replacement?
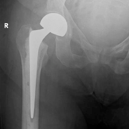
A Cemented Half Hip Replacement (Hemiarthroplasty) is a surgical procedure where the damaged head of the thigh bone (femur) is replaced with an artificial implant. Unlike total hip replacement, only half the joint is replaced, and the new femoral head is fixed using bone cement for immediate stability.
This procedure is most commonly recommended for:
- Elderly patients with non-healing hip fractures
- Patients with low activity levels
- Osteoporotic bone conditions
- Cases where the socket (acetabulum) is still intact
Why Cemented Hip Replacement?
In cemented hip replacement, special orthopedic cement is used to anchor the implant firmly into the thigh bone. This provides:
- Immediate fixation
- Faster mobility after surgery
- Reduced risk of post-op loosening in elderly patients with weak bones
Who Needs This Surgery?
Cemented hemiarthroplasty is often suitable for:
- Individuals over 65-75 years of age
- Suffering from femoral neck / Intertrochanteric fractures
- With poor bone quality (osteoporosis)
- Who are unable to walk or sit due to severe hip pain
Delaying surgery in such cases can lead to bed sores, pneumonia, blood clots, and even mortality. Early surgery and mobilization are key to recovery.
यदि आपके माता-पिता या बुजुर्ग रिश्तेदार के कूल्हे की हड्डी टूट गई है, तो जल्द सर्जरी कराना बेहद ज़रूरी है।
सेमेंटेड हिप रिप्लेसमेंट से वे जल्दी चल-फिर सकते हैं और सामान्य जीवन जी सकते हैं।
Benefits of Cemented Half Hip Replacement
✅ Quick recovery – patients usually start walking within 24–48 hours
✅ Cost-effective and safe
✅ Less blood loss than total hip replacement
✅ Lower risk of dislocation
✅ Ideal for frail and elderly patients
This procedure is backed by decades of research and is the gold standard for elderly hip fracture treatment.
Step-by-Step Overview of the Procedure
- Anesthesia is administered – usually spinal or regional
- The fractured femoral head is removed
- A specially designed metal implant is inserted into the femur
- Bone cement is used to secure the implant in place
- The wound is closed and recovery begins
The surgery usually takes 1 to 1.5 hours and patients are encouraged to start walking within 48 hours with assistance.
Why patients choose Dr. Anupam Khandelwal for Cemented Hip Surgeries
I’m Dr. Anupam Khandelwal, an orthopedic and joint replacement surgeon based in Indore, with years of experience in performing advanced hip surgeries. Patients from across Madhya Pradesh – including Bhopal, Ujjain, Ratlam, Khandwa, Khargone, Jabalpur, and Guna – trust our center for successful and compassionate treatment of hip fractures.
I’ve successfully performed hundreds of cemented hemiarthroplasty surgeries in Indore over the years. My team ensures:
- Precise surgical technique
- Use of USFDA-approved implants
- Focus on pain-free rehabilitation
- Round-the-clock nursing care
We routinely treat patients from Bhopal, Ujjain, Ratlam, Khandwa, Khargone, and Jabalpur, offering not just surgery, but complete recovery plans including physiotherapy and travel assistance.
Real-Life Case: Patient from Khandwa
A 74-year-old woman from Khandwa fell in her bathroom and suffered a displaced neck of femur fracture. She was brought to Indore within 12 hours. After basic evaluation, we performed a cemented half hip replacement. She was made to walk with support the very next day and was discharged within 3 days. Within a month, she resumed her household routine independently.
“डॉ. अनुपम सर का इलाज बहुत अच्छा रहा। मेरी नानीजी अब बिना सहारे के चल सकती हैं। पूरा स्टाफ भी बहुत सहयोगी रहा।” – मरीज की पोती
Recovery After Surgery
Most patients are able to:
- Sit within a day
- Stand and walk with help within 2–3 days
- Resume daily activities within 3–4 weeks
Complete recovery usually takes 6–8 weeks, depending on the patient’s overall health and physiotherapy adherence.
Cost & Insurance Support
We understand that families often worry about expenses. Cemented hip replacement is:
- Covered under most insurance plans
- Economical compared to total hip replacement
- Available at affordable packages at our Indore center
We offer cashless facility, free estimates, and even travel support for patients from rural and semi-urban regions of Madhya Pradesh.
Why Patients from All Over Madhya Pradesh Choose Us?
🟢 Trusted by 10,000+ patients from Ujjain, Jabalpur, Guna, and beyond
🟢 State-of-the-art surgical setup in Indore
🟢 Ethical, transparent advice and support
🟢 Personalized post-op care
इंदौर आने वाले मरीजों के लिए मुफ्त पिकअप, होम स्टे व्यवस्था और मेडिकल पेपर्स में मदद उपलब्ध है।
Get in Touch
If your loved one has suffered a hip fracture or has been advised cemented half hip replacement, don’t delay.
📍 Dr. Anupam Khandelwal – Senior Orthopedic & Joint Replacement Surgeon
📞 Call: +91-8818814030
🌐 Visit: www.dranupamkhandelwal.com
🏥 Serving Indore, Bhopal, Ujjain, Ratlam, Khandwa, Khargone, Jabalpur, Guna, and entire Madhya Pradesh
Frequently Asked Questions (FAQs)
Q. How long does the implant last?
In most elderly patients, the implant lasts a lifetime. No further surgery is usually needed.
Q. Is cemented half hip replacement safe for people above 80?
Yes, it is considered the safest and most reliable option for elderly patients with hip fractures.
Q. How soon can the patient start walking?
Usually within 48 hours of surgery with support.
